
マウスピース矯正モニター募集中!!
モニター登録で最大10万円割引!
例)88万円(税込)→77万円(税込)
症例モニターとして、施術の経過をHPやSNSに掲載させていただくことで、通常よりも施術をお得に受けられる制度です。
症例モニターは、お目もとを隠した「顔出しなし」のモニターなので安心してモニター登録していただけます。
マウスピース矯正

マウスピース矯正モニター募集中!!
モニター登録で最大10万円割引!
例)88万円(税込)→77万円(税込)
症例モニターとして、施術の経過をHPやSNSに掲載させていただくことで、通常よりも施術をお得に受けられる制度です。
症例モニターは、お目もとを隠した「顔出しなし」のモニターなので安心してモニター登録していただけます。

マウスピース矯正とは通常の矯正のように歯にワイヤーを貼るのではなく、マウスピース型の矯正装置を装着して行う治療です。ワイヤー矯正のように目立つことがなく、他の人から矯正していることがわからないので、見た目を気にすることなく矯正治療を始めることができます。
また、1日20時間装着するだけで歯並びを矯正できる手軽さと、食事や歯磨きの際には自分で取り外しができるので、矯正中のストレスも少なくすみます。


マウスピース矯正には適応症があります。まず、歯並びの状態などをチェックし、マウスピースで矯正歯科の治療が可能かを診断させていただきます。
以下は一般的な適応症と非適応症です。


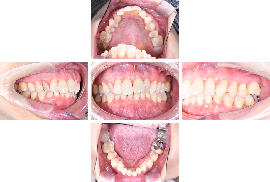
| 主訴 | 歯並びのがたつきを治して噛み合わせをよくしたい |
|---|---|
| 治療内容の詳細 | マウスピース矯正 |
| 治療費用 | 90万円+税(マウスピース矯正と拡大装置を併用したため) |
| 治療期間・回数 | 19回、1年8か月 |
| リスク・副作用 | 一時的に噛みにくくなる、顎に痛みが出ることがある、マウスピース装着時の痛み |
01.カウンセリング
まず、歯並びのお悩みや治療に関する疑問などをおうかがいします。そして、マウスピース矯正の治療内容やメリット・デメリット、費用などを説明いたします。当院では既存患者様には無料で初回カウンセリングを行っておりますので、疑問点やご不安なことなど、まずはお気軽になんでもご相談ください。
02.精密検査
口腔内検査のほかに必要に応じてパノラマレントゲン撮影やCT撮影、顔や口腔内の撮影、お口の歯並びの型取り、ディスクレパンシー(歯が並ぶために不足していた余っているスペース)の測定を行い、精密に歯並びやお口の状態を把握します。
03.治療計画のご説明・矯正装置の発注
精密検査の結果をもとに作成した治療計画についてご説明いたします。患者様のご要望に合わせて、マウスピースでの部分矯正を含め、何通りかの治療方法や、治療期間などについてご説明いたします。治療を決定された場合は患者様の歯並びを光学印象でスキャンし、それぞれの技工所(キレイライン、クリアコレクトの技工所)に矯正装置の発注を行います。
04.矯正治療の開始
マウスピース型装置が届いたら治療開始です。歯の動き具合に合わせて10日から14日の間隔で1枚ずつマウスピースを交換していきます。必要に応じて歯と歯の間を0.2~0.5mm程度削ることがあります。
マウスピースが歯に合っているかを確認するためにも1ヶ月に1度来院していただき、チェックしていきます。
05.再スキャン
マウスピースの全顎矯正ではマウスピースを交換していくうちにマウスピースに歯の移動がついてこなくなることがあります。
その場合は、その時点での歯並びを光学印象で再スキャンし、マウスピースを再発注します。
06.保定期間を経て治療終了
歯が目標の位置まで動いたら、その状態を維持できるように保定を行います。一定期間保定を行ったら、矯正治療は終了です。
キレイライン矯正をご希望の方、詳細が気になる方はこちらをご覧ください。

ここの前歯の並びだけ治したい、この歯の向きだけ治したい、そんなお悩みはありませんか?
当院ではマウスピースの全顎矯正、キレイラインなどのマウスピースの部分矯正はもちろん、一枚から試すことができるマウスピース矯正のご用意もございます。
気になる部分をマウスピース一枚からお試しでき、ご満足いただけたところでやめることができる矯正です。
上顎のみ、下顎のみなど片顎のみでもお試しいただけるので、一部の歯並びだけ気になる方、矯正後の後戻りが気になる方はお気軽にお問合せください。
(金額は片顎1ステージ22,000円、両顎1ステージ44,000円)
| MINI | ONE | TWO | THREE | UNLIMITED | |
|---|---|---|---|---|---|
| 治療期間(目安) | 半年 | 1年 | 1.5年 | 2年 | 2.5~5年 |
| アライナー枚数 | ~12 | ~24 | ~48 | ~72 | 制限なし |
| 価格(税込) | 66万円 | 77万円 | 77万円 | 88万円 | 88万円 |
月額調整料(IPR代やアタッチメント付与代を含みます)は5,500円です。
| 5回コース | 10回コース | 15回コース | |
|---|---|---|---|
| 治療期間(目安) | 10週 | 23週 | 36週 |
| アライナー枚数 | 5枚 | 10枚 | 15枚 |
| 価格(税込) | 198,000円 | 330,000円 | 462,000円 |
再診料は3,300円、IPR代は3,300円、リテーナー代は22,000円です。
アライナー1枚22,000円(片顎)44,000円(両顎)から治療できます。
(デンタルローン適用66万円のプランを114回払いの場合。※調整料は別途かかります。)
当院ではデンタルローンをご利用いただくことによって、月々のご負担を軽減できるため今まで治療を諦めていた方にもお気軽に矯正治療を受けていただくことができます。